金属の価格が高騰しています。
金の価格高騰を筆頭に銀やパラジウムといった金属も軒並み値上がりを続けています。
歯科に一番大きな影響を与えているのが銀歯です。
銀歯に使われる金属の価格は10年前の約5倍まで高騰しています。
どの産業でも材料代が5倍ってなかなかないことだと思います。
では銀歯の治療費が5倍になったかというとそうではないんです。
銀歯はどんどん不採算な治療になっており、国も数年前からプラスティックの歯の適応範囲を広げてきました。
昔は保険で出来る白い歯は、前歯や前の方の小さな奥歯だけだったのが、今はすべての歯に白い歯が保険適応になりました。
「銀歯じゃなくて白い歯が全部保険効くのなら、見た目も良くなっていいんじゃない?」
と思われる方もいるかもしれません。
見た目に関しては確かにそうなんですが、保険の白い歯はほぼプラスティック製ですので、耐久性などに多くの問題をはらんでいます。
割れやすい、外れやすい、すり減る、変色して黄ばむなどがデメリットとして考えられます。
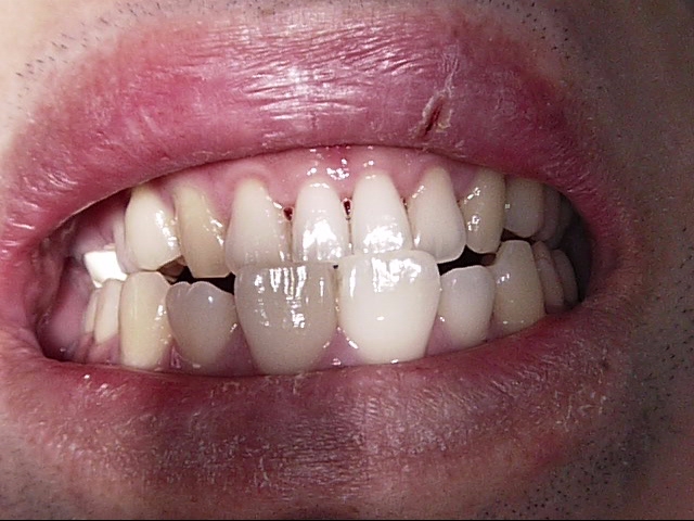
白い歯のなかでも保険適応のPEEK冠といって、割れにくい被せ物もあるのですが、色が真っ白になってしまうので、悪目立ちします。
PEEK冠の1例↓

現状の保険診療での大きな奥歯に被せ物に関しては、耐久性だけでいいますと通常の銀歯が一番あるかと思います。
しかし、歯科医院側も採算の合わない銀歯治療を敬遠するようになり、歯にとってあまり良くないと分かりつつもプラスティック製の歯を使うようになってきました。
ですので、今までは銀色で目立つことで患者さんに不評だった銀歯ですが、希望しても歯医者さん側で断わられる可能性もあるのです。
少し前に書いた入れ歯難民に続いて、銀歯難民も増えるかもしれないのです。
耐久性の高い銀歯にもそれはそれでデメリットがあります。
「だったら自費で高いセラミックやジルコニアにするしかないの?」
と、なるかもしれません。
確かにセラミックやジルコニアは銀歯に比べてメリットの多い治療です。
しかし費用が保険適応外になるため、どなたも気軽に出来る治療ではありません。
そうなるとやるべきことは出来るだけ歯を悪くしない、銀歯やプラスティックの歯を入れるような虫歯を作らないことが一番のコストカット法だと思います。
それが予防歯科です。
どうすれば虫歯や歯周病を防げるかは科学的に解明されており、歯や歯ぐきの弱い方でも、リスクに応じた適切なケアをすれば、歯を長持ちさせ、なるべく削らないようにするこは十分に可能です。
今はどこの歯医者さんでも予防に力を入れていますので、歯が弱い、なるべく歯を失いたくない、銀歯やプラスティック製の歯を入れたくない方は、かかりつけの歯医者さんでご自身のリスクに適した予防方法を是非教わってみてください。
以上「これから増える銀歯難民ってなに?」でした。
皆さまのお口の健康の参考になれば幸いです。
宝塚市の宝塚南口駅すぐの歯医者 笹山歯科医院