宝塚南口の笹山歯科医院 院長の笹山です。
今回はホワイトニングはどれくらい(何日)で白くなるかの話です。
ちなみにホームホワイトニングの話です。
*歯医者さんで直接施術するオフィスホワイトニングはその場で白くなります。
ホームホワイトニングは自宅で好きな時間に2時間ホワイトニングします。
通常、効果が出るのは2~3週間後です。
初回にホワイトニングのトレーやジェルをお渡しして、2週間後にチェックするのですが、ほとんどの患者さんは「白くなったか、よく分かりません。」とおっしゃいます。
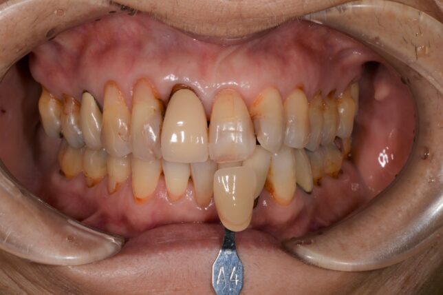
当院では術前の歯と歯の色見本を入れて写真撮影していますので、その時の色見本と比較すれば、どれくらい白くなったか分かるのですが、ほぼ全ての方が2~3週間で白くなり始めています。
ケース1
開始時

2週間後

ケース2
開始時

2週間後

ケース2は、ビフォーアフターの差があまり分からないかもしれませんね。
右上の前歯に合わせている色見本A4と比較すると2週間後の方が、色見本より白くなっているのが分かると思います。
もちろん、これで終わりではなく、更に2~3週間継続することで患者さん自身でも分かるくらい白くなってきます。
以上「ホワイトニングのよくある質問 何日くらいで白くなる?」でした。
当院ではホームホワイトニングをおこなっています。歯を白くしたい方はお気軽にお問い合わせください。






after
オパールエッセンスというアメリカ製の有名なホワイトニングジェルです。