
プレオルソというマウスピースタイプの矯正装置の効果についてです。
6歳のお子さん。

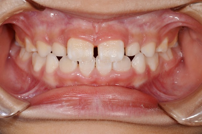
前歯が乳歯から永久歯に生え変わるタイミングで受け口になってしまったケースです。
上の大きな前歯の先端が下の前歯の内側に入ってしまっているのが分かりますでしょうか?
プレオルソを装着して1か月。

すでに歯並びが改善しはじめています。
そして2か月後

上の前歯の先端が下の前歯の外側に位置しているのが分かりますでしょうか?
生え変わりの時期は歯が動きやすく、顎の骨も柔軟性があるのでケースによってはこれほど早く改善されます。
上の前歯はすきっ歯になっていますが、後に自然に治ります。
逆に下の前歯の歯と歯の間の隙間が治療前と比べて無くなっているのがお分かりでしょうか?
これはとてもいいことです。
横からも見てみましょう
治療前
2か月後

これだけ早く効果が出たもうひとつの理由。
それは、プレオルソの装着時間や装着方法をしっかり守ってくれたことです。
いわゆるワイヤー矯正(針金を歯につける矯正)は取り外しできないので、時間さえたてば歯は動きます。
このマウスピースは正しく装着しないといつまで経っても治りません。
マウスピースタイプの矯正のコツはとにかく装着時間と方法を守るということですね。
プレオルソはただ歯並びを改善するだけの装置ではありません。
歯並びが悪くなってしまった原因である舌の位置や口呼吸なども改善してくれます。
お母さんにも大変喜んでいただき何よりです。
まだ改善途中ですので引き続き装着していただきますが、経過は良好そうです。
プレオルソの紹介動画↓
https://www.youtube.com/watch?v=Pa4irnilp-I
皆様のお口の健康に参考になれば幸いです。
宝塚市の歯医者 笹山歯科医院
